Технология MJM
- Обновлено: 06.07.2025, 12:43
- Категория: Технологии 3D-печати
 
Технология MJM: многоструйное моделирование от 3D Systems
Многоструйное моделирование (MJM) — это запатентованный метод трехмерной печати, разработанный компанией 3D Systems. Эта технология реализована в линейке профессиональных 3D-принтеров ProJet и предназначена для создания изделий с высокой точностью и детализированностью.
Как работает MJM
Процесс печати по технологии MJM сочетает в себе элементы нескольких аддитивных методов: струйной печати (3DP), FDM/FFF (послойного наплавления) и стереолитографии (SLA). Построение модели происходит за счёт нанесения материала тонкими слоями через печатную головку, в которой может быть от 96 до 448 микро-сопел.
В качестве расходников используются воски, термопластики и фотополимеры. При печати термопластичными материалами отверждение происходит в процессе охлаждения. Если же применяется фотополимер, то каждый слой дополнительно облучается ультрафиолетом для затвердевания.
Технология также предусматривает автоматическую печать вспомогательных опорных структур, особенно актуальных при создании моделей со сложной геометрией и нависающими элементами. Опоры изготавливаются из специального плавкого воска и после завершения печати удаляются путем нагрева модели до ~60 °C, благодаря чему конструкция очищается без механического вмешательства.
MJM обеспечивает исключительную точность печати — толщина слоя может быть всего 16 микрон, а горизонтальное разрешение достигает 750×750×1600 DPI, что делает технологию сравнимой по качеству с лазерной стереолитографией.
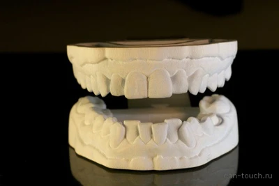
Материалы
VisiJet Pearlstone — пример материала, применяемого для создания стоматологических моделей
Изначально оборудование MJM использовало привычные термопластики, но с развитием фотополимерных составов произошёл переход к более продвинутым материалам, включая воски и фотополимеры.
Принтеры ProJet работают с широкой линейкой расходных материалов под маркой VisiJet. Каждый тип рассчитан на конкретные задачи:
- 
 VisiJet DentCast применяется в стоматологии как отливочный воск, 
- 
 VisiJet X — прочный материал, аналогичный ABS-пластику, 
- 
 VisiJet Crystal — идеален для точных литейных мастер-моделей и прототипов с высокой прозрачностью. 
Области применения
MJM находит применение в сферах, где критически важна высокая детализация и точность:
- 
 стоматологические лаборатории, 
- 
 производство ювелирных изделий, 
- 
 архитектурное и промышленное проектирование, 
- 
 разработка электроники и прототипов. 
Принтер ProJet 3500HDMax, один из наиболее совершенных аппаратов, реализующих технологию MJM, широко применяется в профессиональной 3D-печати, предлагая стабильное качество, точность и совместимость с разнообразными материалами.




Комментарии